Burnos ertmės higiena esant stabiliems aparatams
Gražius dantis gali turėti kiekvienas. Kartu galime tai pasiekti
Gražūs, lygiai suaugę dantys lemia puikią išvaizdą, spinduliuojančią sveikata ir gera savijauta, dėl to Tavo šypsena daro nuostabų įspūdį. Jeigu tinkamai rūpinsies aparatu, jį nuimant neatsiras jokių pažeidimų.
Reikmenys
Specialus ortodontinis dantų šepetėlis tai puiki pradžia. Jis turi būti dažnai keičiamas.
Spalvinamosios tabletės gali būti naudojamos siekiant aptikti nepakankamai gerai valomas sritis.
Sritys, kurioms turi būti skiriamas ypatingas dėmesys valant su šepetėliu
Sunkiai pasiekiamose vietose gali padėti:
a) viengubas šepetėlis arba
b) tarpdančių šepetėlis
a) viengubas šepetėlis arba
b) tarpdančių šepetėlis
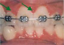
„Kilpelės" ir „kabliukai" yra potencialios vietos, kuriose gali būti maisto likučių.
YPATINGOMS SRITIMS VALYTI REIKIA LAIKO IR PASTANGŲ!
Dantų valymas? Paprasta ir veiksminga
Vien valant su dantų šepetėliu galima pasiekti daug. Šepetėlis neturi būti pernelyg didelis, jo šeriai turi būti vidutinio kietumo.
Pradėk sukdamas šepetėlį ir slankiodamas jį į apačią ant viršutinio dantų lanko ir į viršų ant apatinio. Taip reikia valyti iš eilės kiekvieną segmentą, iš kairės į dešinę. Paskui galima su šepetėliu nuvalyti visus paviršius, kaip parodyta paveiksle.
Šepetėlis turi būti pridedamas normaliai, horizontalioje padėtyje, o dantys ir dantenos po aparatu ir virš jo turi būti valomi žiediniais judesiais.
Šepetėlis turi būti pridedamas normaliai, horizontalioje padėtyje, o dantys ir dantenos po aparatu ir virš jo turi būti valomi žiediniais judesiais.
TECHNIKA YRA PAPRASTA, REIKIA NAUDOTI DAUG VANDENS, VALYMUI SKIRTI PAKANKAMAI LAIKO, O BAIGUS APŽIŪRĖTI DANTIS VEIDRODYJE.
Norint išvengti problemų reikia skirti laiko ir pastangų
Dantys gali būti nepriekaištingai švarūs, net tie, ant kurių uždėti užraktai. Dantys žvilga, o dantenos rausvos ir sveikai atrodo.
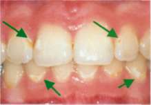
Jeigu dantys blogai valomi su šepetėliu, aplink užraktu lieka maisto likučių, minkštieji audiniai priplūdę kraujo (parodyta rodyklėmis), turi uždegimo požymių.
Dėl prastos higienos visam laikui pakinta dantų spalva ir pažeidžiami minkštieji audiniai.
TAVO DANTYS TURI BŪTI ŠVARŪS, NET JEIGU NEŠIOJI UŽRAKTUS. PARODYSIME, KAIP TO PASIEKTI!
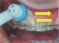
Dar galima rekomenduoti elektrinį dantų šepetėlį
1 etapas: su besisukančiu šepetėliu valoma aplink užraktą.
2 etapas: besisukantis šepetėlis perkeliamas nuo vieno danties prie kito virš vielutės ir po ja. Nepamiršk ir dantenų masažo.
Specialus ortodontinis šepetėlis ir kiti reikmenys, skirti taisyklingai higienai.
VALANT DANTIS SVARBU, KAD BŪTŲ NAUDOJAMA DAUG VANDENS IR DANTYS BŪTŲ KRUOPŠČIAI SKALAUJAMI!